Пн-Вс 09:00 — 22:00
без выходных
Пн-Вс 09:00 — 22:00
без выходных
г. Ульяновск, ул. 40-летия Победы, 9
схема проезда 3D тур
Версия для слабовидящих
+7 (8422) 20-46-09 +7 (8422) 21-44-70 обратный звонок

Фотопротокол

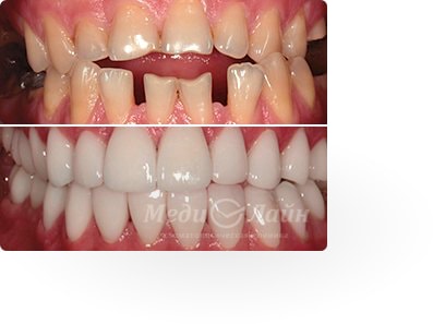
Улыбнитесь и убедитесь, каким замечательным получился результат лечения

Клиника «МедиЛайн» очень внимательно относится к качеству оказываемой вам помощи. Мы настоящие перфекционисты в области стоматологии! Всё делаем тщательно и на совесть. А также применяем различные методики для лучшего результата, и одна из таких — ведение фотопротокола.

Для чего нужна фотофиксация?

Области, в которых нужна эта процедура — это ортопедия и ортодонтия. Говоря простыми словами, протезирование зубов и коррекция их положения.

«Фоторепортаж» при восстановлении зубов нужен, чтобы ортопедическая конструкция выполняла не только функциональную роль, но и эстетическую. Мы делаем снимок до установки конструкции и после. Нам важно, чтобы результат вам нравился: восстановление зубов преображает не только улыбку, а также порой существенно изменяет черты лица, фотопротокол помогает отследить эти изменения.

Ортопед делает фото не только лица, но и каждого зубного ряда в различных ракурсах. Таким образом, вы четко видите, насколько эстетично выглядят искусственные зубы в полости рта. Зубному технику же такие снимки необходимы для создания красивой и гармоничной конструкции.

Зачем фотопротокол в ортодонтии?

01
Зафиксировать изначальное состояние зубов и прикуса
02
Запечатлеть эффект ортодонтического лечения в динамике
03
Запротоколировать окончание лечения

Сравнивая эти снимки, можно легко отследить эффективность лечения. Как правило, ортодонтические процедуры длятся не меньше года. За это время можно вполне «забыть», как ваши зубы выглядели до обращения к специалистам.

Фотопротокол же наглядно демонстрирует, как изменилась ваша улыбка. Это мотивирует вас пройти лечение до конца и добиться потрясающего результата!
Снимок сомкнутых зубов Фотофиксация в стоматологии в Ульяновске

Какие фотографии нужны?

Профиль
Профиль
Анфас
Анфас
Улыбка
Улыбка
Снимки сомкнутых зубов с ретрактором
Снимки сомкнутых зубов с ретрактором
Снимки зубных рядов в полости рта
Снимки зубных рядов в полости рта

Возможны и другие варианты, в зависимости от характера лечения.

Фотографии хранятся на нашем компьютере. Доктор получает возможность обращаться к снимкам в любое удобное для него время, чтобы при необходимости скорректировать лечение. Плюс к этому доктор может посоветоваться с другими специалистами. А также вы видите, насколько изменились сами в процессе лечения.

Доверьте свои зубы в опытные руки наших врачей. Запишитесь на приём в стоматологию «МедиЛайн». Мы «за» вдумчивый подход!

Врачи ортопедического отделения
Врачи ортодонтического отделения
наверх